fiches conseils

Parodontologie

Parodontologie

Qu’est ce que la maladie parodontale ?

La maladie parodontale est une maladie qui détruit les tissus de soutien des dents (gencive et os). Elle connaît plusieurs stades, d’évolution plutôt lente, dont chaque étape a une prise en charge précise.

La maladie parodontale débute par une infection locale provoquée par une accumulation de bactéries appelée « plaque dentaire », associée à un brossage inadapté ou inefficace. Si la plaque dentaire n’est pas éliminée (au moins deux fois par jour), elle se transforme en tartre grâce aux sels minéraux de la salive. Certains facteurs rendent le brossage difficile et favorise l’accumulation de plaque dentaire :

  • les malpositions dentaires,
  • les couronnes ou soins mal adaptés.,

L’hygiène n’est pas la seule cause de la maladie parodontale, il y a également des facteurs de risques généraux comme le stress, un diabète non équilibré, la génétique, le tabac …

Les conséquences de cette maladie, si elle n’est pas prise en charge, sont multiples et peuvent aboutir à la perte des dents. A savoir également, que la maladie parodontale peut aggraver certaines maladies comme les maladies cardio-vasculaires ou le diabète.

IMPORTANT : Pour les problèmes de gencives et de déchaussements des dents, c’est le PATIENT qui est , en grande partie, RESPONSABLE de la réussite du traitement.

Que ce soit pour prévenir ou pour soigner les problèmes de gencives, voici ce que je dois faire :

  • Brossage deux fois par jour, au minium ;
  • Je peux y associer un dentifrice pour les soins des gencives ;
  • En cas de gingivite ou de parodontite :
    • Passage 2 fois par jour du fil dentaire ou des brossettes.
  • En préventif : passage 1 fois par jour du fil dentaire ou des brossettes ;
  • J’effectue des contrôles annuels chez mon dentiste traitant.
  • N’hésitez pas à demander conseil à votre dentiste afin d’éclaircir certains gestes de l’hygiène orale.

L’évolution de la maladie est la suivante : le premier stade est la gingivite = atteinte réversible des tissus -> sans prise en charge -> parodontite (différents stade de gravité).

La gingivite

La gingivite est une maladie infectieuse d’origine bactérienne. Il s’agit d’une inflammation de la gencive. Elle peut être localisée sur une petite zone ou généralisée à l’ensemble de la bouche.

Quelles en sont les manifestations ?

  • La gencive gonfle, devient rouge, lisse et brillante.
  • Souvent douloureuse, elle saigne au moindre contact (au brossage ou en croquant une pomme) ou spontanément.
schéma gingivite

Quelle est la prise en charge de la gingivite ?

  • La gingivite est un processus RÉVERSIBLE.
  • L’inflammation disparaît à la reprise d’un brossage dentaire efficace et d’une hygiène inter-dentaire rigoureuse.
  • Le tartre entretient l’inflammation des gencives, il doit alors être éliminé lors d’une séance de détartrage.

Elle survient à tout âge, même chez les personnes en bonne santé !

La parodontite

La parodontite chronique

Qu’est-ce que la parodontite?

La parodontite est une maladie infectieuse d’origine bactérienne (= transmissible). Elle atteint les tissus de soutien de la dent et peut conduire à la perte des dents. Elle début en général entre 30 et 40ans.

Elle progresse lentement, souvent sans symptômes, pourtant, il y a une atteinte irréversible des tissus. Elle peut être locale ou généralisée. Il s’agit d’une maladie chronique, on ne guérit pas une parodontite, on la stabilise.

Etapes parodontite

L’attache gingivale entoure et protège la dent. Sous l’action de certaines bactéries cette attache est rompue puis migre vers l’extrémité de la racine en formant des poches parodontales. (1)

Schéma d’une poche parodontale :

poche parodontale

Les bactéries de la plaque bactérienne continuent à s’infiltrer et s’accumuler en profondeur pour détruire les tissus qui soutiennent la dent. La plaque dentaire, emprisonnée sous la gencive, ne peut plus être éliminée au brossage et se transforme en tartre en aggravant le phénomène de destruction. Le déchaussement des dents n’est possible que si le pouvoir destructeur des germes est plus fort que le système de défense de l’individu. (2)

Progressivement, l’os qui entoure la dent est alors détruit.

ATTENTION : la gencive peut rester en place en surface pendant que l’os se résorbe en profondeur et masquer le déchaussement.

Sans traitement, la maladie parodontale aboutit à la mobilité et la perte des dents (3)

Les conséquences de la parodontite chronique sont les suivantes:

  • diminution de la hauteur d’os ;
  • récessions gingivales ;
  • poches parodontales ;
  • mobilités de plus en plus importantes.

Les étapes du traitement parodontal sont les suivantes :

  • 1ere étape : traitement initial : on traites les causes ;
  • 2e étape : phase chirurgicale (si besoin) ;
  • 3e étape : phase de maintenance (très importante).
  • Votre dentiste vous accompagnera et vous expliquera ces différentes phases.

La parodontite agressive

Qu'est ce qu'une parodontite agressive ?

Il s’agit d’une maladie infectieuse (bactérienne), donc transmissible. Elle peut être locale (quelques dents) ou généralisée (atteinte de toutes les dents), et apparaît plus précocement entre 20 et 30 ans.

Elle progresse rapidement avec des phases plus ou moins douloureuses. Comme pour la parodontite chronique, les tissus sont atteints de manière irréversible.

Les conséquences de la parodontite agressive sont :

  • diminution de la hauteur de l’os irréversible ;
  • récessions gingivales ;
  • poches parodontales ;
  • mobilités de plus en plus importantes.

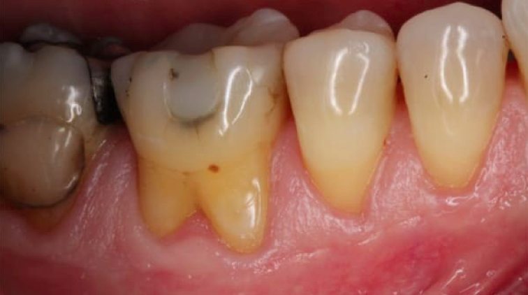
Les récessions gingivales

Qu'est ce qu'une récession gingivale?

Lorsque la gencive se rétracte, se déplace vers la racine, elle entraîne une exposition de la racine dentaire.

recession gingivale

Quelles sont les conséquences des récessions gingivales ?

  • Les dents sont plus sensibles ;
  • L’esthétique change : les dents paraissent plus longues, s’écartent, bougent.

Quelles sont les causes des récessions gingivales ?

  • Le type de gencive (plus ou moins fine, quantité de gencive résistante) et d’os ;
  • La plaque dentaire
  • Les malpositions dentaires ;
  • Les habitudes nocives (piercing, ongles, stylo) ;
  • Les caries ;

Comment se soigne une récession gingivale ?

  • Le traitement au quotidien nécessite :
    • Une hygiène dentaire et inter-dentaire rigoureuse = brossage 2 fois par jour, et utilisation atraumatiques du fil dentaire ou des brossettes ;
    • Une utilisation d’un dentifrice pour sensibilités dentaires ;
    • Une suppression des habitudes nocives ;
    • D’effectuer les soins dentaires.
  • A SAVOIR : que la gencive ne « repoussera pas » sur la dent.
  • Il existe donc une possibilité de recouvrement de la racine dentaire par un traitement chirurgical. Autrement dit, dans certaines conditions nous pouvons réaliser « une greffe de gencive » :
    • L’efficacité est variable en fonction de l’étendue de la récession ;
    • En fonction des produits (résines composites, agents désensibilisants) mis sur vos dents ;
    • A quel moment dois-je réaliser ma greffe de gencive ?
      • Avant un traitement orthodontique ;
      • Avant la mise en place d’un implant ;
      • Lorsque j’ai une demande esthétique.