fiches conseils

Soins conservateurs

Soins conservateurs

Qu'est ce qu'une carie ?

C’est un processus multifactoriel, infectieux, d’origine bactérienne,TRANSMISSIBLE.

Les facteurs de risques sont les suivants :

  • une alimentation sucrée ou acide (c’est lé fréquence d’ingestion des sucres qui est plus nocive que la quantité totale)
  • une absence de brossage quotidien régulier.

Pour qu'une carie se développe, il faut que les 4 facteurs suivants soient réunis :

CARIE = SUCRES/ACIDES + BACTERIES + FACTEUR TEMPS + HOTE/DENTS

Quels sont les moyens de lutte ?

  • Brossage avec un dentifrice fluoré, au minimum 2x par jour ;
  • Ne pas grignoter entre les repas
  • Diminuer les habitudes nocives
  • Hygiène alimentaire saine

Quels sont les différents stades de la carie ?

La carie se développe en quatre stades:

développement carie

1) Stade n°1 : La carie débute par un minuscule trou au niveau des espaces inter dentaires ou des sillons des dents. Elle progresse de l'extérieur vers l'intérieur de la dent en la détruisant = Atteinte de l’émail. Stade indolore détecté lors d’une visite de contrôle chez votre chirurgien dentiste. A ce stade la carie est réversible grâce à une excellente hygiène bucco-dentaire et au pouvoir réparateur de la salive.

2) Stade n° 2 = Atteinte de la dentine : La brèche au niveau de l’émail permet aux bactéries de progresser et s’étendre à travers la dentine moins minéralisée et plus fragile. A ce stade, le chaud, le froid, les sucres et les acides peuvent provoquer des sensibilités et des douleurs d’intensité variable selon les individus et le stade de la carie.

3) Stade n°3 = Atteinte de la pulpe. La carie, non traitée, évolue vers la pulpe « le nerf de la dent ». A ce stade, les douleurs peuvent être aigues et violentes, c’est le stade de « la rage de dent » que seul votre dentiste pourra soulager.

4) Stade n°4 = abcès apical. Sans traitement, le nerf de la dent va mourir peu à peu : il se « nécrose ». Attention ! A ce stade, la douleur peut cesser et laisser croire que tout va bien. La dent s’infecte et peut conduire à la formation d’un abcès.

Comment soigne-t-on une carie ?

Les solutions pour traiter les dents sont différentes et suivent le stade d’évolution de la carie.

Pour les stades 1 et 2 :

La vitalité de la dent peut être conservée. La dent restera donc vivante.

  • Première étape = Nettoyer la dent et éliminer la carie !
  • Deuxième étape = Combler le trou laissé par la carie et rendre à la dent, sa forme et sa fonction!
    Avec quels matériaux ?
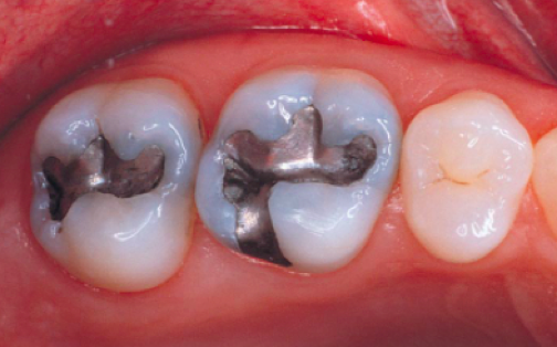
    • La dent peut être obturée au cours de la séance à l’aide d’un amalgame. Il est peu esthétique, est utilisé depuis 150 ans. Appelé à tord « plombage », l’amalgame ne contient pas de plomb. Il est composé d’un alliage d’argent, d’étain et de cuivre associés à du mercure. Il est de nos jours l’objet de nombreuses controverses et son utilisation requiert certaines précautions comme chez la femme enceinte.
    • Le composite, de couleur identique à celle de la dent, est une résine renforcée de particules minérales.
    • En céramique en restaurant la dent grâce à des inlays/onlays
carie reparee
carie

Pour les stades 3 et 4 :

Lorsque la dent est délabrée par la carie de façon très importante et qu'elle est douloureuse de façon irréversible, il faut dévitaliser la dent. C’est à dire qu'il faut enlever la partie du nerf qui est à l’origine de la douleur, on parle alors de « dévitalisation, de traitement de racine ou de traitement endodontique. »

Cette dévitalisation comprend plusieurs étapes :

  • enlever le nerf dans toutes les racines
  • désinfecter
  • reboucher la dent avec un matériau biocompatible
reboucher dent

Ce soin est long et complexe. Il nécessite la mise en place d’un champ opératoire (appelé digue) pour isoler la dent des contaminations salivaire, sanguine et bactérienne. La digue permet un certain confort pour le patient et le praticien. Le patient peut déglutir normalement et bien respirer par le nez.

radio dents

Après la dévitalisation, il peut persister :

  • Des douleurs spontanées
  • Des douleurs à la pression
  • Cela fait partie des suites post-opératoires normales et ces symptômes disparaissent au bout de quelques jours

Certaines complications peuvent survenir pendant le traitement endodontique, comme :

  • Un instrument qui casse dans une racine
  • Le matériau d’obturation du canal peut être projeté au delà de la racine
  • L’infection peut persister malgré le respect du protocole
  • Un risque de perforation en recherchant les entrées des racines de la dent.

Les sensibilités dentaires

Si j’ai les dents sensibles lorsque je bois ou mange quelque chose de froid, est-ce forcément une carie ?

Non, d’autres phénomènes peuvent expliquer les sensibilités au froid, comme les pertes de substances (soin cassé ou non étanche, dent cassée) ou les récessions gingivales (c’est une diminution de la hauteur de gencive qui expose une partie de la racine des dents).

Que puis-je faire pour ces autres causes ?

  • Brossage biquotidien avec un dentifrice adapté pour les sensibilités dentaires
  • En parler à mon dentiste traitant pour éventuellement prévoir l’application d’agents désensibilisants